日期: 2016-12-19 23:10:28 人气: -
在你开始销售演示的那前13毫秒的时间内,你的潜在客户已经开始对演示片子的图像内容进行视觉上的辨别,并且开始进行情绪化的处理了。
这比眨眼之间还要快10倍。
在他们开始有意识地去理解你介绍的东西之前,就已经根据第一印象来判断你的材料了,他们会在情绪上加以体验,并且根据若干的认知偏见来进行过滤。

在不到一秒钟的时间内,决策就已经开始了
随着视觉图像在你的大脑内传播,这一基础的视觉处理只是一系列的激活与处理的第一步。在不到100毫秒的时间内,大脑的情绪处理部分就会被激活,很快视觉习惯的皮层就会跟进,帮助你破译看到的东西。最后,在图像被看到的不到1秒钟的时间内,你的前额皮质就开始进行决策处理了。从光子到选择只是几百号秒之内的事情。这就是为什么设计会对销售心理造成如此有力影响的原因。你的反应性视觉处理发生得太快了,以至于它给随后发生的所有高级认知处理都奠定了基调。
通过设计可以影响和说服你的潜在客户。销售演示的设计运用得当的话,你甚至还没有开始开口讲话就已经赢得了潜在客户的青睐。
你的销售材料设计马上就会触发大脑的第一印象
而那个情绪反应会给你接下来的销售互动定调
人类时刻都在准备着辨别他人的情绪,这有助于我们把握复杂的社会结构。比方说,只要你看到某人微笑,你的杏仁核就能认出那是“高兴”并让你留意。一个有力的握手或者一次令人愉快的问候也会触发相同的影响。
这就是第一印象的威力。在2009年纽约大学神经科学中心的一次研究中,Daniela Schiller和她的同事寻找了第一印象与神经方面的联系。她们发现,在积极的第一印象期间,杏仁核的活动增加了,进而会影响到此人随后对互动的注意力。

杏仁核的正面性
杏仁核是大脑皮质下杏仁状的部分。皮质是是大脑控制意识的部分,而皮质下结构在进化方面要古老得多,并且对我们如何处理情绪之类的东西至关重要。
当你害怕的时候,那是因为杏仁核让你感到害怕。当你感觉到爱的时候也一样。没有杏仁核,你感觉不到任何东西。
有了这条通往杏仁核的直达线,意味着视觉设计几乎可以马上引发正面和负面情绪。大家仅仅通过你的设计就会马上做出假设。
这以力量掌握在任何设计师手上。影像用得好的话,你就能制造出强化的情绪反应。
这些设计产生的正面的第一印象对好的亲身演示来说非常关键,但当你是在网上做演示时,其作用甚至更加决定性。因为那个时候你不能跟人握手或者用微笑去跟人打招呼。潜在客户能够跟进的全部就只有可视化的部分。如果你的第一张片子呆板,那你本人也一样。如果它让人兴奋,感兴趣,或者感到温暖,你也会如此。
可以看看Jarkko Sjoman关于个人品牌的这个例子。第一印象抓住了你的注意力。

这是关于设计如何可以利用正面的第一印象建立期望的很好例子。它有两个因素能保证抓住你的大脑的注意力
颜色:颜色对我们的生存至关重要。帮助我们识别对象的下颞皮质有这样的一些神经元,它们只对特定的焦点色——红色、绿色、黄色以及蓝色做出反应。在进化过程中,这些颜色对于帮助表示兴奋(红色)、自然(绿色)或者冷静(蓝色)发挥了重要作用。
辨识:人类,实际上大量的哺乳类动物,都有特殊的视觉区域只对脸部做出反应,这个区域就是纺锤状脸部区域(fusiform face area)。这是因为分辨清楚敌友,并且有能力阅读脸部(这是我们身体最有表现力的部分)情绪对我们的社交能力来说实在是太重要了。
前面的那个例子当中对颜色和脸部的就进行了出色的使用。火热的粉色和橙色调会引起热情和兴奋感。然后你的纺锤状脸部区域会把拉到Walter White(美剧《绝命毒师》的主人公)的脸部,认出他的那一刻你会感到惊恐。仅仅通过颜色和图像设计,你等待演示的时候马上就会注意到这张片子,并且想要看看接下来会有什么。
基本设计准备激活了你潜在客户大脑正面的情绪反应
这继而触发他们用时间和注意力来打赏你
尽管热情被视为销售过程的关键因素,但还有个东西潜在客户更喜欢看到,那就是准备。
比方说,华盛顿大学的科学家研究了风投家的投资决策后发现,尽管VC喜欢在投资推介过程当中看到激情,但对融资决定产生最积极影响的不是激情,而是你的准备。
你往演示投入的时间和精力越多,相应地受众投入到里面的时间和精力也会越多。这种相互性已经植入到你大脑当中,是成长和保持合作所需要的。作为社会动物,我们已经形成了特定机制,可确保我们能够愉快地跟别人玩到一起。你对产品的演示越清晰越有说服力,每一位潜在客户对你的公司理解就会更好。
如果你的幻灯片是这个样子,等着看别人打哈欠吧。
有件事情你从来都没听过,那就是销售跟好设计共进退
美国设计管理协会用Design Value Index(DVI,设计价值指数)量化了设计的价值。DVI把看重设计的公司的指数与其他标普指数公司的进行了对比。DVI里面都是苹果、耐克这类优先考虑设计的公司。
从2003年道013年,这15家以设计为中心的品牌在ROI方面比标普指数高了228%。

2013年,对这15家品牌投资1万美元几乎可获得4万美元的回报。对标普指数的同样投资只能赚1.75万美元。英国设计协会也有一样的发现。他们的设计价值报告发现,“企业每在设计变更上花费100英镑,其营业额就能增加225英镑。”
在销售方面,相对于你高薪的销售团队,设计的成本实在是太低了。设计更好的销售材料成本可能连你销售团队工资的1%都不到。但是却可能把整个销售团队的业绩提高5个百分点,让ROI提高400%。
好设计有好回报。订购付费平台Zuora恰恰发现了这一点。这是被他们的销售主管Andy Raskin称为是所见到过的最好的销售演示的第一张片子,称这份材料帮助Zuora做成了一些最大的单子:

这份东西不仅运用了心理学方面的成分来召唤杏仁核,运用了亮色和笑脸等初级视觉系统,而且整个介绍在思路和准备方面还点出了其他一些重要事项:
组织:第一张片子并没有直接就介绍产品,而是在一个变化中的世界这个更大的图景下先交代问题的背景。它自始至终都运用了设计来构造一个故事,所以等你来到产品介绍时,浏览者已经被这个故事打动了。
简洁:用马克·吐温的话来说:“我没时间写封短信,因此我只好写一封长的。”介绍材料的简洁性显示了准备以及所付出工作的水平。它展示的清晰、迷人的视觉信号正是演示者所提供的更广范围的叙述一部分。
支付软件的演示就应该是这样的。如果片子叙述的是它使用了什么技术的话,会显得很枯燥。相反它没有,而是运用了好看、简单的设计,把浏览者引入一段“订购经济”之旅。到最后,潜在客户就会想成为Zuroa所讲述故事的一部分。
销售介绍的个性化可节省潜在客户的认知能量
从而把他们引导到自己熟悉的地方
人以群分,物以类聚。当大家对某个东西熟悉时,更有可能会做出正面的决定。这种相似性偏见心智模式会驻留在你的前额皮质里面。它是大脑的一部分,在思考、记忆和情绪的共同作用下帮助你做出决定。

左:腹内侧前额皮层 中:眼窝前额皮质 右:背外侧前额皮质
心智模式,有时候也叫做启发法,是大脑的秘密武器。通过把世界正在发生的事情跟以往经验以及我们之前建立的模式进行匹配,它们可以让我们节省认知能量。然后我们就可以按照这种模式来做决定而不是去接受太多的新信息。
这些启发法可用于设计,让你的演示在潜在客户那里看起来更熟悉更积极,即便他们此前从未见过。你应该根据自己的公司定制好自己的片子:
如果你是向初创企业演示,那就采用扁平、极简的设计和拷贝。关键决策者大概是在屋里面的,所以当天用你的设计有效讲述一个故事更重要。
如果你是向企业演示,你可以采用更经典的设计、颜色和信息。这些片子会转给多个利益攸关者查阅。他们需要独立。
营销自动化工具Eloqua采用了这种不同的策略来在销售演示中吸引初创企业和企业:
在这份面向初创企业的演示当中,公司聚焦的是Eloqua的销路拓展能力,他们采用了适合这个受众群体的卡通设计风格。字体、图像以及颜色相对于面向企业的销售演示都要更活泼一些:

虽然这两份片子都谈到了部分相同主题,但企业版的演示感觉要企业化得多,利用了更为商业化的语言、图像以及想法。每一张片子都包含了更多的信息,整体设计更为传统一些。

这些定制化可以简单到改变一下副本和颜色,或者复杂到重新设计整个演示来适合对方的品牌和logo。
当潜在客户观看演示时,题目就会感觉很自然,并且把对自身公司正面的模式投射到你公司身上。这会让他们感觉你的产品已经是他们公司的一部分,为你的品牌赋予正当性,并且使得他们做出决定更加容易。
通过这么做,你就把熟悉度偏见和互惠主义结合到了一起。你的演示在设计方面会给人熟悉感,而且你也将展示自己对这家公司做了多少功课,以及自己在演示方面进行的准备有多少。
福利:好设计能让作为销售人员的你更加自信
而这是有效销售的最大因素
好设计影响的不仅是你的受众,还会影响到你。如果你站在你投入了精力并且感觉有信心的演示面前,你自己也会更有效率。

乔布斯的成功有很多秘密,而准备是其中的一个。背后有苹果设计力量的支持,他对自己的演示充满自信也就不足为奇了。
当观众观看他的演示时,他们的视皮质进入了超速转动的状态,他们的杏仁核会变得情绪化,他们的前额皮质会权衡所有这一切信息来做决定。他们的大脑在进行着很多事情。
但是他的脑子也在不停地转。
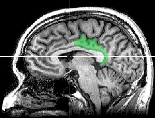
扣带回后部的位置
他的扣带回后部全绿了。研究表明,当我们在自省的时候,这个区域就会被自己活。大脑的这个部分牵涉到我们的自我意识,并且与我们对待之前记忆存在关联。
这有时候被叫做“元认知”,或者对思考的思考。我们的大脑回路被用于自我评估。它们会不断对我们的自身表现吹毛求疵,评判自己做得好还是不好。再次地,前额皮质在这里发挥了作用。
对自我评估的研究表明,当我们对自身表现有信心时,前额皮质中与执行功能和心智理论有关的区域被激活了。
通过制作设计精良的演示这种努力,我们激活了自身大脑的这些区域。我们变得更加自觉,更加积极地看待自己。而对自身看法越积极往往与更成功是关联在一起的。
可视化设计有用是因为大脑持这一套。它利用了我们人脑原本的用途——快速掌握大量可视化信息并赋予其意义。你让让大脑容易消化可视化任务,它给予你的回报就越多。
当你的潜在客户坐在一份精心设计的演示面前时,你对他们的大脑跟你站在一边就会很有信心。如果你在设计中利用了面部、颜色、情绪以及启发法的话,你就在发挥大脑的视觉优势。
从基础,到情绪乃至于决策,每一个阶段你都可以树立你的视觉论据。这样做的话你就对自己的设计就可以信心爆棚,对赢得销售也会信心爆棚。